Cerebral schistosomiasis in a Nigerian patient with end-stage kidney disease.
Main Article Content
Keywords
Cerebral schistosomiasis, End-stage kidney disease
Abstract
Cerebral schistosomiasis is an uncommon, probably less recognised, but serious neurological complication of Schistosoma infection. Its diagnosis is often delayed due to nonspecific clinical presentations and imaging findings.
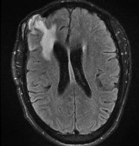
We report the case of a 29-year-old Nigerian male with end-stage kidney disease on dialysis who presented with headaches, fever, generalised seizures, and left-side emiplegia. His brain MRI revealed a contrast-enhancing right frontotemporal mass lesion with surrounding oedema and midline shift, initially suggestive of a cerebral abscess.
Empirical treatment with antibiotics, steroids, and anticonvulsants provided partial relief. Surgical intervention via craniotomy and partial resection revealed a vascular, greyish-yellow mass. Histopathology confirmed Schistosoma eggs surrounded by granulomatous inflammation, establishing a diagnosis of cerebral schistosomiasis.
The patient was treated with praziquantel and dexamethasone, and levetiracetam, leading to complete resolution of neurological symptoms and seizure control. Follow-up imaging showed significant lesion regression.
This case underscores the diagnostic challenge of cerebral schistosomiasis, particularly in immunocompromised patients. Despite living in an endemic area, the absence of recent freshwater exposure and the bsence of suspicious clinical history delayed diagnosis. Radiological features mimicked neoplastic or infectious lesions, emphasizing the need for histological confirmation.
Cerebral schistosomiasis should be considered in patients with space-occupying brain lesions in endemic regions. Early recognition and targeted therapy can yield favourable outcomes.
References
2. Aula OP, McManus DP, Jones MK, Gordon CA. Schistosomiasis with a focus on Africa. Trop Med Infect Dis. 2021;6(3):1–40.
3. Di Bella S, Riccardi N, Giacobbe DR, Luzzati R. History of schistosomiasis (bilharziasis) in humans: from Egyptian medical papyri to molecular biology on mummies. Pathog Glob Health [Internet]. 2018;112(5):268–73. Available from: https://doi.org/10.1080/20477724.2018.1495357
4. Ferrari TCA, Moreira PRR. Neuroschistosomiasis: Clinical symptoms and pathogenesis. Lancet Neurol [Internet]. 2011;10(9):853–64. Available from: http://dx.doi.org/10.1016/S1474-4422(11)70170-3
5. El Beltagi A, Salem K, Hanoun M. Neuro-schistosomiasis with palm tree contrast enhancement pattern, a report of three cases, and review of literature. BJR|case reports. 2021;7(1):20200053.
6. Guo Y, Zhang J, Chai R, Yang Y, Tian K, Shi G, et al. Cerebral schistosomiasis in a 3-year-old girl due to Schistosoma japonicum: a case report. Front Immunol. 2024;15(December):1–6.
7. Ndu I, Obumneme-Anyim I, Ekwochi U, Amadi O. Neuroschistosomiasis in an eight year old male: A case report. J Clin Med Kazakhstan. 2020;6(60):106–8.
8. Imai K, Koibuchi T, Kumagai T, Maeda T, Osada Y, Ohta N, et al. Cerebral schistosomiasis due to Schistosoma haematobium confirmed by PCR analysis of brain specimen. J Clin Microbiol. 2011;49(10):3703–6.
9. Med J, Reports C, Moawia M, Ahmed Z, Hussein H, Osman M. Surgical management outcome of cerebral schistosomiasis : a case report and review of the literature. J Med Case Rep [Internet]. 2021;1–5. Available from: https://doi.org/10.1186/s13256-021-02828-z
10. Utami PD, Pratiwi YS, Budiarti R, Diarsvitri W. Cerebral Schistosomiasis in the Napu Valley, Central Sulawesi, Indonesia. Case Rep Med. 2025;2025(1).
11. Zaqout A, Abid F Ben, Murshed K, Al-Bozom I, Al-Rumaihi G, Al Soub H, et al. Cerebral schistosomiasis: Case series from Qatar. Int J Infect Dis [Internet]. 2019;86:167–70. Available from: https://doi.org/10.1016/j.ijid.2019.07.002
12. ALVES W. The distribution of Schistosoma eggs in human tissues. Bull World Health Organ. 1958;18(5–6):1092–7.
13. Al Hussein HN, Alomari D, Al Nakhalah S, Alfitori G. Neuroschistosomiasis in Young Filipino Patient Presenting With Seizure. Eur J Case Reports Intern Med. 2024;11(11).
14. Lu CY, Zhao S, Wei Y. Cerebral schistosomiasis: MRI features with pathological correlation. Acta radiol. 2021;62(5):646–52.
15. Cimini A, Ricci M, Gigliotti PE, Pugliese L, Chiaravalloti A, Danieli R, et al. Medical imaging in the diagnosis of schistosomiasis: A review. Pathogens. 2021;10(8):1–14.
